Introduction

Research on tumor diseases cannot be separated from the study of the migration and invasion functions of tumor cells. Meanwhile, it also lays the foundation for the subsequent research on signal pathways and functional mechanisms.

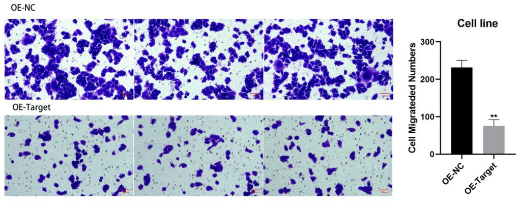
Cell migration: It is used to study the migration ability of tumor cells or the migration ability of tumor cells under specific circumstances. Commonly, an 8.0 µm membrane is used. Tumor cells are seeded in the upper chamber, and fetal bovine serum (FBS) or certain specific chemotactic factors are added to the lower chamber. The tumor cells will migrate towards the lower chamber with a higher nutrient content. Counting the number of cells that enter the lower chamber can reflect the migration ability of tumor cells.

advantages

✔ Strict controls and experimental quality control points to ensure the accuracy and reliability of the results.
✔ Data analysis, graphing and English materials and methods, along with detailed raw data, will safeguard the authenticity of your data and facilitate your article publication.
✔ Published article cases.

workflow

Delivery Contents:
A. Raw data of all experimental results.
B. Experimental reports (including detailed experimental procedures and the manufacturer and catalog number information of the main instruments and reagents).
C. English materials and methods.

demo data

Taking AGS cells as an example.