RXBio Translates Sequence to Science and Industry
空间转录组Stereo-seq FF 产品方案是同时以“纳米级分辨率”和“厘米级全景视场”实现“组织到数据 ”的整体解决方案,适用于新鲜冰冻 (Fresh Frozen, FF) 样本。
空间转录组Stereo-seq FF产品方案是同时以“纳米级分辨率”和“厘米级全景视场”实现“组织到数据 ”的整体解决方案。该方案利用带有空间坐标信息的含有Poly T的捕获探针,实现新鲜冷冻(Fresh Frozen, FF)样本组织细胞内的mRNA分子原位捕获,并通过空间条形码(Coordinate ID,CID)还原回空间位置,实现组织空间检测。时空转录组FF最新版本为V1.3。其凭借卓越的捕获性能,通过快速简便的工作流程,可捕获到高水平基因数,轻松实现Cellbin分析;结合强大易用的分析工具,精细探索细胞基因表达时空规律。此外,用户可灵活选择同片细胞核或H&E染色,满足多样化的研究需求。
01 捕获基因数显著提升
基于同组织相邻切片、相同数据饱和度下,统计了已,测试的所有组织样本,Bin20水平捕获的Median Gene Type 提升中位数比例为~149%、Meidan MID提升中位数比例为~224%。捕获效率显著提升,助力进行更深入的单细胞空间分析。
02 轻松实现CellBin分析
通过图像识别技术,对细胞核进行识别和分割并获得Cellbin。基于Cellbin水平捕获到的更多空间转录组信息,以单细胞分辨率精细探索基因表达空间特征。
03 同套试剂盒支持同片细胞核/H&E染色
H&E封片剂集成进试剂盒,支持同一套试剂盒在同一张切片上灵活选择ssDNA染色/H&E染色,开展多模态数据分析及挖掘。
案例一:
基于H&E提供的组织学信息,深入探究伴导管分化食管癌的空间分子特征,并精准定位细胞类型空间分布。
病理诊断为食管溃疡性低分化鳞形细胞癌,空间转录组学结果提示存在伴导管分化腺鳞癌的可能性,这一发现可能会为伴导管分化食管癌的病因学研究及诊断治疗提供新的研究思路。
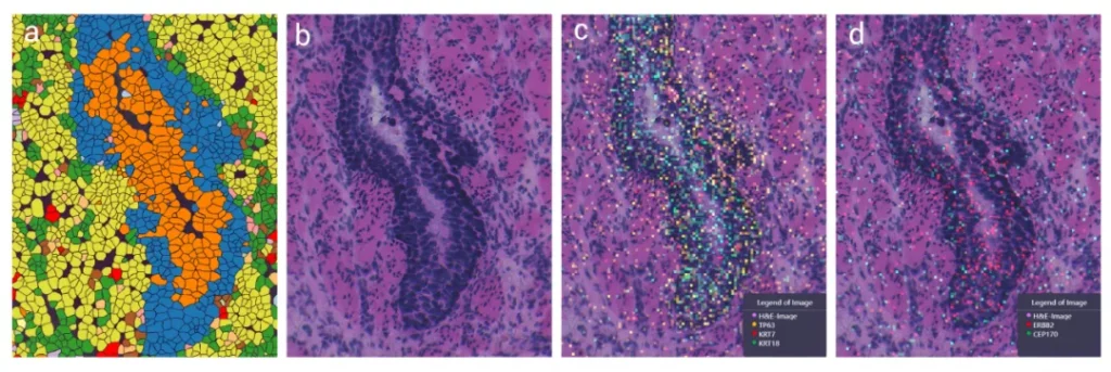
(a)从H&E染色图像与Stereo-seq FF转录组的数据叠加结果可看出肿瘤位于食管黏膜鳞状上皮下,呈小管样;这与(b)病理学注释的H&E染色结果一致。该结构中,(c)外层细胞表达TP63,内层细胞表达KRT7/18,(d-f)注释为腺上皮区ERBB2+(HER2+)。
案例二:
利用Cellbin水平分析,精准解析小鼠肺组织免疫微环境,并鉴定出免疫微环境中的主要细胞类型。
电话:027-870502099
邮箱:sales@rxbio.cc
地址:武汉市东湖高新区高新二路388 号
光谷生物医药加速器 18 栋 1-2层
单细胞多组学 空间转录组
三代测序 功能基因组
表观遗传学 互作组学
单细胞大数据 数据深度挖掘

欢迎关注公众号「瑞兴生物」