RXBio Translates Sequence to Science and Industry
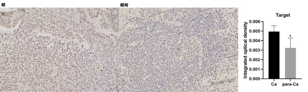
免疫组织化学染色法(immunohistochemistry (IHC))是指在抗体上结合萤光或可呈色的化学物质,利用抗原和抗体专一性结合的免疫学原理,检测细胞或组织中是否有目标抗原存在的一种实验方法,此方法不只可以用来检测抗原的表达量也可观察抗原所在位置,是一种定性、定位、定量测定的一项新技术。只要是能够让抗体结合的物质,也就是具有抗原性的物质包括蛋白质、核酸、多糖、病原体等都可检测。
✔ 严格的对照和实验质控点,保障结果的准确可信
✔ 数据分析作图和英文材料方法,详细的原始数据,为您发表文章保驾护航
交付内容:
A. 所有实验结果的原始数据
B. 实验报告(含详细的实验步骤,主要仪器和试剂的厂家货号信息)
C. 英文材料方法
电话:027-870502099
邮箱:sales@rxbio.cc
地址:武汉市东湖高新区高新二路388 号
光谷生物医药加速器 18 栋 1-2层
单细胞多组学 空间转录组
三代测序 功能基因组
表观遗传学 互作组学
单细胞大数据 数据深度挖掘

欢迎关注公众号「瑞兴生物」