RXBio Translates Sequence to Science and Industry
肿瘤疾病的研究,离不开肿瘤细胞的迁移、侵袭功能的研究,同时其也为后续信号通路、功能机制研究打下基础。
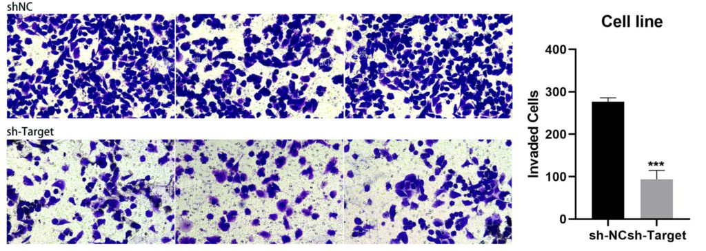
细胞侵袭(cell invasion):研究肿瘤细胞的侵袭能力或特定情况下肿瘤细胞的侵袭能力。与肿瘤细胞迁移实验不同的是,需在聚碳酸酯膜上侧铺一层基质胶,用以模仿细胞外基质,上室种肿瘤细胞,若细胞要进入下室,必须先分泌基质金属蛋白酶(matrix metalloproteinase,MMPs)将基质胶分解,才能通过聚碳酸酯膜下室,计数进入下室的细胞量可反映肿瘤细胞的侵袭能力。
✔ 丰富的项目操作经验,具有不同细胞侵袭的细胞接种量和侵袭时间的经验库,节省反复实验摸索时间;
✔ 严格的对照和实验质控点,保障结果的准确可信;
✔ 数据分析作图和英文材料方法,详细的原始数据,为您发表文章保驾护航。
交付内容:
A. 所有实验结果的原始数据
B. 实验报告(含详细的实验步骤,主要仪器和试剂的厂家货号信息)
C. 英文材料方法
电话:027-870502099
邮箱:sales@rxbio.cc
地址:武汉市东湖高新区高新二路388 号
光谷生物医药加速器 18 栋 1-2层
单细胞多组学 空间转录组
三代测序 功能基因组
表观遗传学 互作组学
单细胞大数据 数据深度挖掘

欢迎关注公众号「瑞兴生物」